Tipos de manchas en los dientes: cómo identificarlas, por qué aparecen y que hacer para aclararlas según su origen

Una sonrisa brillante puede ser nuestra mejor carta de presentación. Sin embargo, muchos factores pueden afectar el color de nuestros dientes, provocando manchas dentales que opacan su luminosidad. Estas manchas, mas allá de parecernos un problema estético, en ocasiones pueden indicar hábitos de higiene inadecuados o incluso algún problema de salud bucal que necesita atención.
Por eso, si alguna vez te has preguntado ¿por qué aparecen manchas en los dientes? o ¿cómo se pueden eliminar?, la clave está en comprender qué tipos de manchas existen y cómo tratarlas o prevenirlas de forma adecuada, para así conservar una sonrisa sana, cuidada y radiante. ✨
Antes de empezar, debemos saber que las manchas en los dientes se clasifican principalmente en dos tipos: manchas extrínsecas y manchas intrínsecas. En este artículo vamos a profundizar en qué consiste cada tipo de mancha en los dientes, sus causas más comunes y las formas más efectivas de tratarlas para eliminarlas o disminuir su apariencia.
Manchas extrínsecas

Las manchas extrínsecas son aquellas que se forman sobre la superficie externa del diente, es decir, en el esmalte dental. En este caso el diente en sí no cambia de color internamente, sino que sustancias de fuera se “pegan” o se adhieren al esmalte.
Estas manchas son muy comunes y generalmente se deben a factores externos en nuestro día a día. Por ejemplo, las sustancias con pigmentos que consumimos, como las que contienen ciertos alimentos, bebidas o productos, así como a la acción de bacterias cromógenas en la placa dental. Por fortuna, al estar en la superficie, suelen ser las más fáciles de eliminar con una buena limpieza dental o tratamientos de blanqueamiento dental. 😮💨
Causas comúnes de las manchas extrínsecas
¿Qué puede manchar nuestros dientes desde afuera? Algunas de las manchas extrínsecas en los dientes provienen de:
Alimentos y bebidas con pigmentos 🥗
El consumo regular de café, té, vino tinto, refrescos de cola, salsas o frutos rojos puede dejar residuos de color que tiñen gradualmente el esmalte. Estos pigmentos se van acumulando poco a poco y generan manchas amarillentas o marrones. Además, los alimentos ácidos (ej. cítricos, vinagre) contribuyen indirectamente al debilitar el esmalte, facilitando que otros pigmentos se fijen con mayor facilidad. Hasta los alimentos saludables pueden generar manchas en tu sonrisa 🧐, te invitamos a leer nuestro artículo “Top alimentos que más manchan los dientes” para saber con más profundidad porqué estos alimentos y bebidas pueden cambiar la coloración de tus dientes y cómo seguir disfrutando de su sabor minimizano el impacto de sus pigmentos.
Tabaco 🚬
Fumar cigarrillos o mascar tabaco es una de las principales causas de manchas en los dientes. La nicotina y el alquitrán del tabaco se adhieren al esmalte, provocando que los dientes se vean más amarillos y que puedan oscurecerse hasta volverse de un tono un poco más café.
Higiene oral deficiente 🪥🫧
Descuidar el cuidado dental y no mantener una rutina constante de higiene bucal permite la acumulación de placa bacteriana y sarro, que a su vez retienen pigmentos y provocan manchas superficiales. De hecho, cuando ya se tiene una cantidad considerable de placa acumulada, a parte de un tono amarillento en los dientes, su textura se vuelve rugosa al pasar por ahí la lengua, convirtiéndose en un indicador clave de que necesitas retomar tu higiene dental.
¿Cómo puedo saber si mis manchas dentales son extrínsecas?
En general, las manchas extrínsecas se caracterizan por tonalidades amarillas, marrones o negras superficiales. Tienden a localizarse en las zonas de acumulación de placa, como cerca de las encías o entre los dientes. La buena noticia es que, con una higiene adecuada y constante y tratamientos simples, podemos eliminarlas o disminuir su color fácilmente en la mayoría de los casos.
‼️ Pero ten encuenta que si dejamos que se acumulen durante mucho tiempo, podrían llegar a penetrar el esmalte y volverse más complicadas.
Manchas intrínsecas

A diferencia de las manchas extrínsecas, las manchas intrínsecas se originan dentro de la estructura del diente. Esto significa que el propio diente cambia de color ya sea en su capa de esmalte (durante su formación) o en la dentina que está debajo. Estas manchas afectan internamente al diente y por eso resultan más difíciles de eliminar que las superficiales. Su eliminación generalmente requiere tratamientos profesionales, ya que no basta con trabajar sobre la superficie.
¿Por qué aparecen las manchas intrínsecas?
Las causas pueden ser muchas, pero suelen implicar algún factor que afecta al diente desde adentro o durante su desarrollo. Entre las causas principales de este tipo de manchas encontramos:
Factores durante la formación dental 🦷
Problemas o alteraciones mientras se estaban formando los dientes pueden dejar marcas permanentes en el esmalte o la dentina. Por ejemplo, ciertas enfermedades infantiles o deficiencias nutricionales pueden provocar defectos en el esmalte que se manifiestan como manchas o áreas opacas. El déficit de calcio, fósforo o vitaminas A, C y D durante la infancia puede reflejarse en cambios de color del diente.
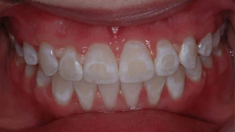
Exceso de flúor o fluorosis dental 🧪
La fluorosis es una condición intrínseca causada por ingerir demasiado fluoruro mientras se desarrollan los dientes permanentes. Esto pasa, por ejemplo en niños que consumen agua con altísimo contenido de flúor o utilizan pasta dental fluorada en exceso a temprana edad. La fluorosis dental provoca manchas internas que pueden verse como manchas blancas opacas y, en casos más avanzados como manchas de color amarillo marrón en el esmalte. Estas alteraciones quedan incorporadas al diente y no se quitan con cuidados normales en casa.
Medicamentos que manchan los dientes 🔬
Ciertos fármacos pueden causar cambios de coloración dentro de la estructura del diente si se toman durante la formación de los dientes. El caso más conocido es el de los antibióticos tetraciclinas. Si un niño pequeño o una madre embarazada toma tetraciclinas, estas moléculas se integran en la estructura del diente en desarrollo y luego los dientes pueden salir con un color amarillento, grisáceo o marrón permanente. De hecho, como dato curioso 💡 a partir de los años 60 se dejó de recetar tetraciclina a embarazadas y niños por este efecto adverso. Otros medicamentos, como la minociclina (un antibiótico derivado), también pueden teñir dientes ya formados de tonalidad azul-grisácea si se usan por tiempo prolongado.
Traumatismos o lesiones internas 💢
Un golpe fuerte en un diente puede desencadenar cambios de color en su interior. Esto sucede porque el trauma puede causar una hemorragia dentro del nervio o la muerte del tejido. Como resultado, el diente puede tornarse primero de un tono rosa rojizo (por la sangre filtrada) y luego gris o negro si el nervio muere y se descompone. Asimismo, como respuesta a ciertos traumas, el organismo a veces genera dentina reparativa para rellenar la cámara pulpar volviendo el diente más amarillo - oscuro de lo normal.
Alteraciones genéticas o displasias 🧬
Existen condiciones hereditarias que afectan la formación del esmalte o la dentina y alteran su color. Por ejemplo, la amelogénesis imperfecta produce esmalte defectuoso que puede ser de color amarillo o marrón, mientras que la dentinogénesis imperfecta da a los dientes un tono opaco gris o marrón translúcido. En estos casos la estructura del diente está alterada de origen, causando una coloración inusual que es dificil de aclarar.
¿Cómo puedo saber si mis manchas dentales son intrínsecas?
Las manchas intrínsecas abarcan desde puntos blancos y opacos hasta colores amarillos, grises o marrones oscuros incorporados en el diente. Pero sea cual sea la causa, debes saber que si tus manchas son intrínsecas no desaparecerán tan facilmente pues requieren de una evaluación especializada para determinar que las originó y cuál sería tu plan de personalizado de tratamiento a seguir incluyendo las alternativas para mejorar su apareciencia.
Manchas en los dientes por la edad - Una combinación de factores intrínsecos y extrínsecos
Conforme vamos envejeciento, es normal que la dentadura adquiera una tonalidad más oscura o amarillenta, incluso si mantenemos buenos hábitos. El envejecimiento dental combina elementos extrínsecos e intrínsecos. Porque por un lado, tras un largo tiempo consumiendo todo tipo de alimentos y bebidas, se acumulan pigmentos superficiales que se van quedando adheridos al diente. Y por otro, el esmalte se va desgastando y deja ver más la dentina, que es naturalmente más amarilla. El resultado son dientes un poquito más opacos o amarillentos en personas de mayor edad.
Ya conozco los tipos de manchas, ¿pero ahora qué hago? 😕
Después de toda esta información, ya podemos darnos una idea de si una mancha es extrínseca (superficial) o intrínseca (interna). Saber distinguir esto es muy importante, porque el tratamiento más adecuado depende del tipo de mancha.
Sólo que recuerda, siempre que quieras iniciar un tratamiento de aclarado dental, debes consultar a un especialista para un diagnóstico profesional. El odontólogo evaluará el origen de la mancha y te recomendará la solución más efectiva.
A continuación, exploraremos algunas de las opciones de tratamiento más comunes con las que podrías encontrarte para eliminar manchas en los dientes .✨
Tratamientos para eliminar las manchas dentales ✨

Limpieza dental profesional
Para la mayoría de las manchas extrínsecas, el primer paso es una buena limpieza dental en consultorio. Este proceso se enfoca en la remoción de placa y sarro acumulado, lo que aparte de mantener tus dientes limpios y saludables, suele restaurar un poco su color natural en caso de pigmentaciones extrínsecas leves. Este procedimiento es rápido, cero doloroso y deja la superficie del diente lisa y brillante, lista para otros tratamientos dentales si fueran necesarios. ✨
Blanqueamiento dental
Cuando las manchas extrínsecas son más intensas, o si se desea un tono más claro y luminoso ✨, el siguiente paso es el blanqueamiento dental. Los tratamientos de blanqueamiento dental aplican agentes químicos que se encargan de romper los enlaces de la mancha para eliminarla.
Existen métodos de blanqueamiento en casa, como pastas dentales blanqueadoras, tiras blanqueadoras o kits con férulas los cuales funcionan bastante bien en manchas extrínsecas no tan marcadas. Sin embargo, las manchas extrínsecas que son muy antiguas y ya están más marcadas responden mejor al blanqueamiento realizado en consultorio dental bajo supervisión profesional. En la clínica, el especialista utiliza geles e incluso luz LED para potenciar el efecto, logrando aclarar el diente varios tonos en una sóla sesión.
Tratamientos avanzados (microabrasión, carillas y otros)
Para manchas más intensas o de origen intrínseco, existen alternativas estéticas más complejas. Una de ellas es la microabrasión dental, que consiste en eliminar una capa ultrafina del esmalte superficial usando una mezcla de ácido suave y abrasivos, con lo cual se atenúan manchas internas localizadas, como las manchas blancas de fluorosis, sin dañar la estructura dental subyacente.
Otra solución son las carillas dentales. Laminas finas de porcelana o resina que el odontólogo adhiere en la cara frontal del diente, cubriendo así la mancha intrínseca y devolviendo un color uniforme a la sonrisa. Las carillas son ideales cuando se busca una solución para dientes que no se pueden aclarar con un blanqueamiento dental.
En casos un poco más complicados, una corona dental podría ser necesaria si el diente además presenta cierto grado de destrucción o restauraciones.
Si la mancha intrínseca se debe a necrosis pulpar (un diente “muerto” y oscurecido), el tratamiento indicado será realizar una endodoncia seguido de un blanqueamiento interno de la pieza o la colocación de una carilla o corona según el caso particular.
Como vemos, hoy en día existen varias soluciones que pueden ayudar a mejorar el aspecto de nuestros dientes dependiendo el tipo de mancha.
🚨 Nota: Es importante tener expectativas realistas. Las manchas muy antiguas, intensas o intrínsecas podrían no desaparecer al 100%, aunque sí disminuir considerablemente. El especialista, dependiendo el caso, se encargará de guiarte sobre qué resultados esperar y cuáles son tus alternativas de tratamientos.
🚨 Cuidado con los remedios caseros
En internet hay muchísimos consejos para blanquear los dientes como frotar bicarbonato con limón, envolver los dientes en aluminio acompañados de limón, utilizar carbón activado, etc. Y si bien, algunos de estos remedios pueden mostrar mejorías en manchas extrínsecas, su uso incorrecto o excesivo puede dañar el esmalte irreversiblemente (los ácidos y abrasivos fuertes debilitan la capa protectora del diente). Siempre consulta a tu odontólogo antes de probar estos métodos y nunca abuses de sustancias agresivas sobre ellos.
Consejos para prevenir las manchas en los dientes
La mejor forma de lucir dientes blancos es evitar que aparezcan nuevas manchas. Si bien no siempre podemos prevenir al 100% todas las manchas porque recordemos que la edad o algunos tratamientos médicos escapan de nuestro control, sí podemos reducir enormemente las manchas extrínsecas con buenos hábitos.
Aquí tienes algunos de los consejos de prevención más efectivos:
Mantén una buena higiene dental
Cepíllate los dientes al menos dos veces al día (idealmente 15-20 minutos después de cada comida) y utiliza hilo dental diariamente. Una buena higiene remueve la placa bacteriana y los restos de comida antes de que puedan manchar el esmalte. No olvides también limpiar la lengua y usar enjuague bucal antibacteriano para reducir al mínimo la propagación de bacterias.
Limita alimentos y bebidas que manchan
Reduce el consumo frecuente de café, té, vino tinto, refrescos oscuros y otros alimentos muy pigmentados. No tienes que eliminarlos de golpe, sabemos que es muy dificil, mejor cuando los consumas, trata de enjuagar tu boca con agua inmediatamente después, para evitar que los pigmentos permanezcan mucho tiempo en contacto con los dientes y se puedan adherir.
💖 También, pequeños cambios como beber el café con leche (diluye más los pigmentos) en lugar de consumirlo solo, podrían ayudarte.
Intenta evitar fumar
Tal vez hasta te suene repetitivo, pero el tabaco es enemigo de una sonrisa brillante y saludable. Los dientes de alguien que deja de fumar, con el cuidado y tratamiento adecuado, podrán disminuir las manchas amarillas y oscurecidas poco a poco luciendo mucho más brillantes con el paso del tiempo. Además no te olvides de los múltiples beneficios para tu salud en general. 💖
Mantén una dieta equilibrada
Siempre consulta a tu nutriológo para que te brinde una dieta adecuada y personalizada, con raciones proporcionales y alimentos a evitar. Una alimentación que incluye frutas, verduras y fuentes de calcio puede ayudar mucho a tus dientes. Las verduras y frutas como la manzana y el apio actúan como un limpiador natural al masticarlos, contribuyendo a liberar la superficie dental de pigmentos que se hayan adherido durante la comida. Por otro lado, obtener suficientes vitaminas y minerales fortalece el esmalte. 💖
No olvides las visitas programadas a tu limpieza dental en consultorio
Acude a tu limpieza dental profesional de forma regular (se recomienda cada 6 meses). Este procedimiento eliminará manchas y sarro antes de que se acumulen demasiado, y además podrá detectar a tiempo cualquier problema (ej. caries, descalcificaciones, etc.) que de no tratarse a tiempo podrían terminar manifestándose como manchas o incluso lesiones en el diente. Las revisiones periódicas son clave para mantener tus dientes limpios, saludables y luminosos a largo plazo. 💖
Conclusión
Conocer el tipo de mancha que afecta a tus dientes es el primer paso para encontrar la solución adecuada. Las manchas extrínsecas suelen solucionarse mejorando la higiene o con procedimientos más simples como limpiezas y blanqueamientos dentales. Por otro lado, las manchas intrínsecas, al estar dentro del diente, pueden requerir técnicas avanzadas, pero incluso para ellas pueden existir alternativas efectivas. Lo importante siempre es consultar el diagnostico de un profesional.
💙 En Velvence, centro de limpieza y blanqueamiento dental profesional, te invitamos a una valoración online SIN COSTO, donde analizamos el tipo de mancha presente en tu sonrisa y te orientamos sobre el tratamiento más adecuado para ti. Contamos con limpieza dental profesional y blanqueamiento dental con tecnología de vanguardia, lo que nos permite evaluar si tu sonrisa puede mejorar con alguno de estos tratamientos de forma segura y personalizada.
La difusión del contenido del presente material es únicamente para fines informativos y no sustituye bajo ninguna circunstancia o condición a una consulta con el médico especialista, por lo que Velvence, centro de limpieza y blanqueamiento dental profesional, no se hace responsable por el uso distinto que pueda darle a la misma. En caso de requerir mayor información relacionado con el tema, le sugerimos contacte directamente al médico especialista de su confianza.
Referencias:
Castro Mora, S., & Bonilla Cascante, A. R. (2017). Dentinogénesis imperfecta: reporte de un caso clínico y revisión literaria. Odontología Vital, 27, 15-22. https://www.scielo.sa.cr/scielo.php?script=sci_arttext&pid=S1659-07752017000200015
Hidalgo-Gato, F., & colaboradores. (2007). Fluorosis dental: no solo un problema estético. Revista Cubana de Estomatología. https://scielo.sld.cu/scielo.php?pid=S0034-75072007000400014&script=sci_arttext
Morales-Lastre, C. C., Castillo-Pedraza, M. C., & Wilches-Visbal, J. H. (2023). Efecto de las bebidas pigmentantes sobre materiales restaurativos directos del sector posterior. NOVA, 21(40), 165-180. https://scielo.isciii.es/scielo.php?script=sci_arttext&pid=S0213-12852018000200002
Natera, A. E., Peraza Urrutia, I., & Uzcátegui Giannattasio, G. M. (2005). Microabrasión del esmalte técnica para la remoción de manchas dentales. Acta Odontológica Venezolana, 43(3), 318–322. Recuperado de https://ve.scielo.org/scielo.php?script=sci_arttext&pid=S0001-63652005000300019